COVID-19 и почки
Аннотация
COVID-19 представляет собой реальную угрозу для пациентов с сопутствующими заболеваниями, такими как сахарный диабет (СД), гипертония, сердечно-сосудистые, почечные или печеночные нарушения. Поражение почек у лиц с СД, подвергшихся новой инфекции, представляется весьма вероятным, а риск развития острого почечного повреждения – ассоциированным со смертностью. Потенциальные механизмы вовлечения почек в клиническую картину заболевания могут включать цитокиновые повреждения, перекрестные органные повреждения и системные эффекты, определяющие лечебную стратегию. Эти механизмы тесно взаимосвязаны и имеют особенно важное значение для лиц на экстракорпоральной терапии и с трансплантированной почкой. Данные аутопсий предоставляют доказательства инвазии вируса SARS-CoV-2 в ткани почек с повреждением клеток канальцевого эпителия и подоцитов, агрегацией эритроцитов у лиц с тяжелой формой COVID-19. Включая лиц с хронической болезнью почек в планируемые протоколы исследований по COVID-19, можно получить доказательную базу эффективных и безопасных методов лечения.
Ключевые слова
Для цитирования:
Шамхалова М.Ш., Мокрышева Н.Г., Шестакова М.В. COVID-19 и почки. Сахарный диабет. 2020;23(3):235-241. https://doi.org/10.14341/DM12506
For citation:
Shamkhalova M.S., Mokrysheva N.G., Shestakova M.V. COVID-19 and kidneys. Diabetes mellitus. 2020;23(3):235-241. (In Russ.) https://doi.org/10.14341/DM12506
В марте 2020 г. Всемирная организация здравоохранения объявила о состоянии глобальной пандемии, связанной с очень быстрым распространением вируса SARS-CoV-2. Вирус вызывает широкий спектр клинических проявлений – от легких симптомов до острого респираторного дистресс-синдрома (ОРДС) у взрослых. Имеющиеся данные свидетельствуют о том, что вызываемая SARS-CoV-2 потенциально тяжелая острая респираторная инфекция COVID-19 представляет собой реальную угрозу для пациентов с сопутствующими заболеваниями, такими как сахарный диабет (СД), гипертония, сердечно-сосудистые, почечные или печеночные нарушения [1, 2]. Пациенты с СД склонны к инфекциям из-за иммунных нарушений [3]. Об уязвимости лиц с СД к вирусным инфекциям сообщалось ранее, в период предыдущих эпидемий гриппа А (H1N1) 2009 г. [4], SARS-CoV [5], MERS-CoV [6].
Диабетическая болезнь почек (ДБП) – одна из основных причин заболеваемости и смертности при диабете, поскольку остается значимой для развития терминальной почечной недостаточности (ТПН) во многих странах [7]. Кроме того, ДБП ассоциирована с высоким риском кардиоваскулярной патологии и смертности [8]. Вовлеченность почек у лиц с СД, подвергшихся новой инфекции, представляется весьма вероятной, а риск развития острого почечного повреждения (ОПП) – ассоциированным со смертностью. Почки являются органами с высокой уязвимостью при COVID-19 с учетом экспрессии ангиотензинпревращающего фермента 2 (ACE2) и дипептидилпептидазы-4 [9]. Выделенный в лаборатории Гуанчжоу SARS-CoV-2 из образцов мочи пациентов с COVID-19 свидетельствует о почках как о таргетном органе для новой вирусной инфекции [10].
В предыдущей вирусной эпидемии SARS-CoV ОПП развивалось у 6,7% лиц с ОРДС, а летальность их достигала 91,7% [11]. В первых сообщениях отмечалась низкая частота ОПП у лиц с COVID-19 (3–9%) [2, 12, 13], однако позднее была показана высокая распространенность почечных нарушений. Исследование, включавшее 59 пациентов с COVID-19, установило, что у 34% развилась массивная альбуминурия в первый день, у 63% – протеинурия в период пребывания в стационаре, у 2/3 погибших – повышение азота мочевины [14]. Компьютерная томография почек показала снижение плотности, наводящее на мысль о воспалении и отеке. Cheng и соавт. определили, что среди 710 госпитализированных пациентов с COVID-19 44% имели протеинурию и гематурию. Последнее выявлялось в 26,7% случаев при поступлении в стационар. Вираж креатинина и азота мочевины был в 15,5% и 14,1% случаев соответственно [2]. ОПП в обоих исследованиях проявило себя как независимый фактор риска госпитальной смертности.
Наиболее крупный обзор по оценке частоты ОПП у пациентов с COVID-19 был проведен по данным 13 госпиталей Нью-Йорка в сроки с 1 марта по 5 апреля 2020 г. Среди 5449 пациентов в возрасте старше 18 лет без значимых исходных ренальных проблем (ТПН, трансплантация почки) ОПП (согласно критериям международного консорциума KDIGO (Kidney Disease Improving Global Outcomes)) развилось у 1993 (36,6%). Из них ОПП 1 стадии развилось у 46,5%, 2 стадии – 22,4% и 3 стадии – у 31,1%. 14,3% пациентов с ОПП нуждались в заместительной почечной терапии (ЗПТ). Была определена четкая связь развития ОПП с необходимостью искусственной вентиляции легких (ИВЛ) – 89,7% против 21,7% у лиц без ИВЛ. Следует отметить, что ОПП в 52,2% случаев развилось в течение 24 ч после интубации. Большинство пациентов (96,8%), нуждавшихся в ЗПТ, также были на ИВЛ. Факторами риска ОПП были определены возраст, СД, сердечно-сосудистые заболевания, негроидная раса, гипертония, необходимость ИВЛ и вазопрессорных препаратов. Препараты, блокирующие ренин-ангиотензин-альдостероновую систему (РААС), не повлияли на частоту ОПП. 694 (35%) пациента с ОПП, несмотря на проводимые мероприятия, погибли. Таким образом, ОПП было определено как частое осложнение у пациентов с COVID-19, ассоциированное с респираторной недостаточностью и плохим прогнозом [15]. Причины ОПП, учитывая тесную связь с респираторными нарушениями, могли быть связаны с острым ишемическим канальцевым некрозом, часто сопутствующим системному коллапсу. Не исключено влияние и протромботического статуса, характерного для COVID-19. Высокий удельный вес образцов мочи и средний уровень натрия мочи <35 мЭкв/л у пациентов в момент развития ОПП наиболее показательны для преренальных нарушений, но могут быть и при некоторых формах острого канальцевого некроза.
По мнению итальянских исследователей из Ломбардии, потенциальные механизмы вовлечения почек в клиническую картину заболевания могут включать цитокиновые повреждения, перекрестные органные повреждения и системные эффекты, определяющие лечебную стратегию (табл. 1) [16]. Эти механизмы тесно взаимосвязаны и имеют особенно важное значение для лиц на экстракорпоральной терапии и с трансплантированной почкой.
Таблица 1. Потенциальные механизмы почечных повреждений и лечебная стратегия при COVID-19
| 
 Патогенез  | 
 Механизм почечного повреждения  | 
 Лечебная стратегия  | 
| 
 Цитокиновое повреждение  | 
||
| 
 Синдром высвобождения цитокинов  | 
 Прямое повреждение цитокинами  | 
 Снижение уровня цитокинов: прямая гемоперфузия с применением нейтро-макропоровых сорбентов, абсорбция плазмы или использование ионно-обменных смол после сепарации из цельной крови, продленная ЗПТ с использованием половолоконных фильтров с абсорбционными свойствами, высокодозная продленная ЗПТ с использованием мембран средней и высокой проницаемости  | 
| 
 Увеличение выработки цитокинов под воздействием ЭКМО, инвазивной вентиляции легких и/или постоянных методов ЗПТ  | 
||
| 
 Гемофагоцитарный синдром  | 
||
| 
 Перекрестные органные повреждения  | 
||
| 
 Кардиомиопатия и/или вирусный миокардит  | 
 Кардиоренальный синдром типа 1  | 
 Вспомогательное кровообращение, артерио-венозная ЭКМО  | 
| 
 Альвеолярные повреждения  | 
 Ренальная медуллярная гипоксия  | 
 Вено-венозная ЭКМО  | 
| 
 Высокое пиковое давление в дыхательных путях и внутрибрюшная гипертензия  | 
 Синдром почечного компартмента  | 
 Вено-венозная ЭКМО, экстракорпоральное удаление СО2, продленная ЗПТ  | 
| 
 Рабдомиолиз  | 
 Тубулярная токсичность  | 
 Продленная ЗПТ с мембранами средней и высокой проницаемости  | 
| 
 Системные эффекты  | 
||
| 
 Гиперволемия  | 
 Синдром почечного компартмента  | 
 Продленная ультрафильтрация, диуретики  | 
| 
 Эндотелиальные повреждения, гипотензия  | 
 Ренальная гипоперфузия  | 
 Вазопрессоры, восполнение жидкости  | 
| 
 Рабдомиолиз  | 
 Тубулярная токсичность  | 
 Продленная ЗПТ с использованием мембран средней и высокой проницаемости  | 
| 
 Эндотоксины  | 
 Септическое острое почечное повреждение  | 
 Удаление эндотоксинов с использованием полистероновых волокон, покрытых полимиксином-В  | 
Примечания: ЭКМО – экстракорпоральная мембранная оксигенация; ЗПТ – заместительная почечная терапия
У пациентов с синдромом «цитокинового шторма» ОПП может развиться в результате повышения проницаемости сосудов, внутрипочечного воспаления, в рамках кардиоренального синдрома (КРС) типа 1. Последний включает системную эндотелиальную дисфункцию, проявляющуюся плевральным выпотом, отеками, интраабдоминальной гипертензией, потерей жидкости в «третьем пространстве» и гипотонией. Экстракорпоральная мембранная оксигенация (ЭКМО), инвазивная механическая вентиляция легких и непрерывная ЗПТ также могут способствовать выработке цитокинов.
Последние данные подтвердили тесную связь альвеолярных и тубулярных повреждений при ОРДС, определяемую медуллярной гипоксией с последующим инсультом канальцевых клеток [17]. Ретроспективное исследование, включавшее 357 пациентов с ОРДС без исходной почечной патологии, показало развитие пневмонии в 83% (как причины критического состояния) и ОПП в 68%. Возраст, СД, позитивный баланс жидкости были независимыми факторами, ассоциированными с развитием ОПП [18]. Ретроспективное исследование 201 китайского пациента с подтвержденной COVID-19-пневмонией продемонстрировало развитие ОРДС в 41,8% и ОПП в 4,5% случаев со значимой ролью возраста, гипертонии и СД [19].
Перекрестные органные повреждения затрагивают и ось сердце–почки (КРС 1 типа) у пациентов с COVID-19. Кардиомиопатия и острый вирусный миокардит, способствуя перегрузке почечных вен, гипотензии, почечной гипоперфузии, ведут к снижению скорости клубочковой фильтрации. Рабдомиолиз, метаболический ацидоз, гиперкалиемия также характерны для пациентов с COVID-19 и ассоциированы с гемодинамической нестабильностью.
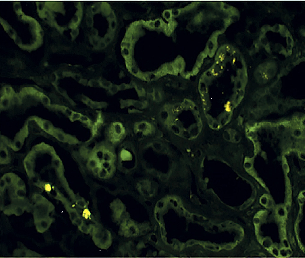
Особый интерес представляет работа китайских исследователей, проанализировавших результаты аутопсий 26 пациентов (19 мужчин, 7 женщин) с COVID-19, погибших от ОРДС, ассоциированного с полиорганной недостаточностью [20]. Средний возраст составил 69 лет, 11 пациентов имели в анамнезе СД или гипертонию, данных о приеме блокаторов РААС до терминальной госпитализации не было, а для контроля АД в стационаре применялись блокаторы кальциевых каналов. У 9 из 26 пациентов были клинические признаки поражения почек с соответствующим повышением креатинина сыворотки крови и/или протеинурией. По данным световой микроскопии определялись диффузные повреждения проксимальных канальцев (рис. 1а), агрегаты эритроцитов в перитубулярных капиллярах (рис. 1b).
Рис. 1. Проксимальные канальцы с вакуольной дегенерацией (стрелки) (а), агрегаты эритроцитов в перитубулярных капиллярах (наконечники стрел) (b). Посмертное гистологическое исследование пациента с COVID-19 (световая микроскопия).
По данным электронной микроскопии были выявлены кластеры частиц коронавируса в канальцевом эпителии проксимальных канальцев (рис. 2а) и подоцитах (рис. 2b). В 3 случаях были определены положительные антитела к ядерному белку SARS-CoV в эпителии канальцев по данным иммунофлюоресцентного анализа (рис. 3).
Рис. 2. Частицы коронавируса (красные стрелки) с характерными шипами (зеленые стрелки) в цитоплазме проксимальных канальцев (а) и подоцитах (b). Посмертное гистологическое исследование пациента с COVID-19 (электронная микроскопия).
Рис. 3. Ядерный белок SARS-CoV в эпителии канальцев. Посмертное гистологическое исследование пациента с COVID-19 (иммунофлюоресцентный анализ).
Наряду с прямой вирулентностью SARS-CoV-2 системная гипоксия, гиперкоагуляция, возможный лекарственный или гипервентиляционный рабдомиолиз способствовали острому повреждению канальцев. Таким образом, данное исследование предоставляет доказательства инвазии SARS-CoV-2 в ткани почек с повреждением клеток канальцевого эпителия и подоцитов, агрегацией эритроцитов у лиц с тяжелой формой COVID-19.
Предметом специального обсуждения в будущем должны стать отдаленные последствия поражения почек у пациентов, выживших после COVID-19.
Особо уязвимой категорией в условиях пандемии являются пациенты, получающие программный гемодиализ. Одно из первых сообщений из Ухани касалось одного из 61 диализных центров, в котором у 37 из 230 пациентов и у 33 сотрудников развился COVID-19 в течение месяца. Причина смерти 6 из 7 погибших пациентов была определена как сердечно-сосудистая и напрямую не связанная с вирусной инфекцией. Пациенты с COVID-19 на гемодиализе демонстрировали более выраженную лимфопению, низкий уровень провоспалительных цитокинов в сыворотке крови и относительно мягкие клинические проявления по сравнению с другими пациентами с этой инфекцией [21].
В центрах гемодиализа значительно увеличивается риск передачи инфекции, в том числе медицинскому персоналу, работникам учреждения, пациентам и членам их семей. Китайское нефрологическое общество и Тайваньское нефрологическое общество оперативно разработали рекомендации для диализных отделений в период пандемии COVID-19 [22, 23]. Их основные положения были опубликованы в официальном журнале Международного общества нефрологов «Kidney International» [24]. Рекомендации охватывают вопросы минимизации распространения инфекции в диализных центрах (оценка состояния здоровья персонала и пациентов до входа в центр, выделение пациентов с подозрением на COVID-19, соблюдение социального дистанцирования по возможности, средства индивидуальной защиты для персонала, ознакомление с симптомами заболевания, использование масок, обучение социальной изоляции и мытью рук, скрининг новой коронавирусной инфекции в случае необходимости хирургического вмешательства, использование телемедицины для мониторинга), вопросы транспортировки, дезинфекции аппаратов. Диализным пациентам, члены семьи которых или лица, осуществляющие уход, находятся на «общем карантине», определено лечение ЗПТ в обычном режиме в течение 14 дней. В случае же подтвержденного диагноза инфекции у члена семьи или лица, осуществляющего уход, пациент идентифицируется как «контактный» и получает лечение согласно соответствующим рекомендациям. Для инфицированных пациентов не рекомендовано менять место проведения диализа, смену и персонал (во избежание дальнейшего распространения инфекции), а также пользоваться общественным транспортом. Должны быть усилены меры защиты для персонала, других пациентов, членов семей, незамедлительной дезинфекции аппаратов, соблюдаться дистанционные нормы; диализные залы и помещения ожидания должны хорошо кондиционироваться и вентилироваться. Не исключены проблемы уменьшения количества и/или длительности сеансов для пациентов на хроническом диализе в условиях повышения потребности в ЗПТ, в том числе в связи с временным ограничением программы трансплантации почки. Очень важно, чтобы, как и все пациенты с почечной патологией, пациенты на диализе продолжали принимать все лекарственные препараты, в том числе блокирующие РААС, если их лечащий врач не дает им других рекомендаций.
Вирусные инфекции – серьезный риск заболеваемости и смертности у пациентов после трансплантации почки. Иммуносупрессия, которая имеет решающее значение для предотвращения аллоиммунных реакций, способна ухудшать защитные механизмы хозяина. COVID-19 прогрессирует быстрее у людей с ослабленным иммунитетом, требуя более частой госпитализации в отделения интенсивной терапии и приводя к более частым смертельным исходам [25]. Реципиенты почечного трансплантата должны принимать все необходимые меры для предотвращения инфицирования. В сериях клинических сообщений из Европы и США [26–32] показатели летальности этих пациентов составили 23–28%, что значительно превышает летальность среди обычных пациентов, инфицированных COVID-19 (≤5%) [26]. Авторы описывают различные стратегии управления терапией, основанной на постепенном снижении иммуносупрессии в зависимости от тяжести заболевания, с учетом риска острого отторжения и потери трансплантата. Интересно, что о последнем не было информации ни в одном из сообщений, вероятно, из-за слишком короткого периода наблюдения. Тем не менее остаются серьезные опасения, что отмена иммунодепрессантов может усугубить гипервоспалительный ответ, развивающийся на поздних стадиях COVID-19. Кроме того, противовирусные препараты в стандартных протоколах ведения пациентов с COVID-19 имеют непростую историю взаимодействия с различными иммуносупрессантами (табл. 2) [33].
Таблица 2. Фармакологическое взаимодействие противовирусных препаратов с иммуносупрессантами
| 
 Л/Р  | 
 РДВ  | 
 ФАВИ  | 
 ХЛО  | 
 ГХЛО  | 
 НИТАЗ  | 
 РБВ  | 
|
| 
 Адалимумаб  | 
 ÅÆ  | 
 ÅÆ  | 
 ÅÆ  | 
 ÅÆ  | 
 ÅÆ  | 
 ÅÆ  | 
 ÅÆ  | 
| 
 Анти-тимоцитоглобулин  | 
 ÅÆ  | 
 ÅÆ  | 
 ÅÆ  | 
 ÅÆ  | 
 ÅÆ  | 
 ÅÆ  | 
 ÅÆ  | 
| 
 Азатиоприн  | 
 ÅÆ  | 
 ÅÆ  | 
 ÅÆ  | 
 ÅÆ  | 
 ÅÆ  | 
 ÅÆ  | 
 Ç  | 
| 
 Базиликсимаб  | 
 ÅÆ  | 
 ÅÆ  | 
 ÅÆ  | 
 ÅÆ  | 
 ÅÆ  | 
 ÅÆ  | 
 ÅÆ  | 
| 
 Белацепт  | 
 ÅÆ  | 
 ÅÆ  | 
 ÅÆ  | 
 ÅÆ  | 
 ÅÆ  | 
 ÅÆ  | 
 ÅÆ  | 
| 
 Циклоспорин  | 
 Ç  | 
 ÅÆ  | 
 ÅÆ  | 
 Ç  | 
 Ç  | 
 ÅÆ  | 
 ÅÆ  | 
| 
 Микофеналат  | 
 ÇÈ  | 
 ÅÆ  | 
 ÅÆ  | 
 ÅÆ  | 
 ÅÆ  | 
 ÅÆ  | 
 ÅÆ  | 
| 
 Сиралимус  | 
 Ç  | 
 ÅÆ  | 
 ÅÆ  | 
 Ç  | 
 Ç  | 
 ÅÆ  | 
 ÅÆ  | 
| 
 Такролимус  | 
 Ç  | 
 ÅÆ  | 
 ÅÆ  | 
 Ç  | 
 Ç  | 
 ÅÆ  | 
 ÅÆ  | 
Примечания: Л/Р – Лопинавир/Ритонавир; РДВ – Ремдесивир; ФАВИ – Фавиправир;. ХЛО – Хлорохин; ГХЛО – Гидроксихлорохин; НИТАЗ – Нитазоксанид; РБВ – Рибаварин.
ÅÆ нет значимого эффекта; Ç потенциальное увеличение экспозиции; Èпотенциальное уменьшение экспозиции.
Зел. – нет клинически значимого взаимодействия; фиол. – взаимодействие может потребовать коррекции дозы или мониторирования; крас. – не следует применять совместно.
Немаловажен вопрос о риске передачи инфекции от донора, учитывая часто бессимптомное течение, инкубационный период, продолжительность жизнеспособности вируса в определенных органах. Поэтому, несмотря на возможные негативные последствия, временное прерывание трансплантации почек может быть необходимо в регионах высокой вирусной нагрузки.
Рабочая группа DESCARTES (Developing Education Science and Care for Renal Transplantation in European States) Европейской почечной ассоциации (ERA-EDTA) после интенсивных дискуссий, на основании экспертных заключений вышеуказанных публикаций и рекомендаций соответствующих сообществ Франции [34], Испании [33], Великобритании [35], США [36] сформулировала предложения по ведению инфицированных пациентов с трансплантированной почкой (длительность трансплантации более 6 мес) (табл. 3) [37].
Таблица 3. Иммуносупрессия у пациентов с трансплантированной почкой в условиях пандемии COVID-19
| 
 1.Асимптоматические пациенты: нет данных о COVID-19-статусе (амбулаторные стабильные пациенты). Нет необходимости превентивной смены иммуносупрессивной терапии.  | 
| 
 2.Асимптоматические пациенты, позитивный мазок COVID-19. Если это пациент высокого риска: возраст старше 70 лет, сопутствующие заболевания или факторы риска (сахарный диабет, сердечно-сосудистые или легочные заболевания, длительное курение, ожирение, расчетная скорость клубочковой фильтрации (рСКФ) <30 мл/мин/1,73 м2, терапия, снижающая число лимфоцитов, в течение 3–6 мес) – рассмотреть возможность снижения дозы/отмены азатиоприна/микофеналата/mTORi в случае тройной терапии  | 
| 
 1.Мягкое течение заболевания: пациент активен, бодр, имеет только легкие симптомы со стороны верхних дыхательных путей и/или желудочно-кишечного тракта, температура тела <38 °С и не имеет таких симптомов пневмонии COVID-19, как одышка, постоянные боли в груди и интенсивный кашель; сатурация крови кислородом >95%, частота дыхания <25/мин; нет признаков пневмонии ни на рентгенограмме грудной клетки, ни на КТ; нет необходимости в госпитализации: •если пациент на тройной терапии – отмена микофеналата/азатиоприна/mTORi – продолжить прием ингибитора кальциневрина и стероидов; •в случае двойной терапии (включая стероиды) – продолжить терапию; •в случае двойной терапии без стероидов: -(ингибитор кальциневрина+микофеналат) – рассмотреть возможность замены микофеналата на небольшие дозы стероидов; -(ингибитор кальциневрина+mTORi) – рассмотреть возможность замены mTORi на небольшие дозы стероидов; -(микофеналат+mTORi) – рассмотреть возможность замены микофеналата или mTORi на небольшие дозы стероидов. •Рассмотреть снижение дозы ингибитора кальциневрина до нижней границы терапевтического диапазона в соответствии с иммунологическим риском, если нет явного улучшения в течение 3–5 дней. •Осторожно возобновить предыдущую иммуносупрессивную терапию через 3–7 дней после устранения симптомов  | 
| 
 2.Имеются свидетельства нетяжелой пневмонии COVID-19: сатурация крови кислородом 94–95%, частота дыхания 25–29/мин, характерные поражения на рентгенограмме грудной клетки или КТ. а.Пациент с высоким риском: возраст старше 70 лет, или сопутствующие заболевания, или факторы риска (сахарный диабет, сердечно-сосудистые или легочные заболевания, длительное курение, ожирение, рСКФ <30 мл/мин/1,73 м2, терапия, снижающая уровень лимфоцитов в течение предыдущих 3–6 месяцев): •отмена микофеналата/азатиоприна/mTORi; •отмена ингибитора кальциневрина; •повышение дозы (или инициация) стероидов 15–25 мг/сут; •осторожно возобновить предыдущую иммуносупрессивную терапию (сначала ингибитор кальциневрина) через 5–10 дней после устранения симптомов. б.Пациент невысокого риска (как определено выше): •отмена азатиоприна/микофеналата/mTORi; •поддерживать на двойной терапии – ингибитор кальциневрина-стероиды; •снизить дозу ингибитора кальциневрина до целевого показателя циклоспорина 50±15 нг/мл, такролимуса – 3±1 нг/мл; •продолжить прием стероидов в поддерживающей дозе. Если пациент начинает антивирусную терапию, отменить ингибитор кальциневрина с последующим контролем. Осторожно возобновить предыдущую иммуносупрессивную терапию через 5–10 дней после устранения симптомов  | 
| 
 3.Более тяжелая пневмония COVID-19: сатурация крови кислородом <94%, частота дыхания 30/мин, нестабильность, необходимость неинвазивной вентиляции или перевода в отделение интенсивной терапии (с/без механической вентиляции). •Отмена всех иммуносупрессантов. •Увеличение (инициация) дозы стероидов до 15–25 мг/сут (или выше в соответствии с местной практикой). •Рассмотреть вопрос о продолжении лечения низкими дозами ингибитора кальциневрина у пациентов с высоким риском отторжения (например, <1 года после трансплантации и/или с высокой иммунизацией). •Осторожно возобновить предыдущую иммуносупрессивную терапию (сначала ингибитор кальциневрина) через 5–15 дней после устранения симптомов  | 
При возможности рекомендуется стратификация риска с учетом лабораторных показателей (C-реактивный белок, интерлейкин-6 (IL-6), ферритин и D-димер), отражающих тяжелый воспалительный процесс и быстрое прогрессирование заболевания.
К сожалению, не выделены пациенты с сочетанной трансплантацией почки и поджелудочной железы (особо тяжелая категория на иммуносупрессии). Вероятно, до разработки специальной программы в условиях пандемии ведение этих пациентов следует проводить в рамках вышеприведенных рекомендаций.
Таким образом, в условиях отсутствия специфического лечения и вакцинации пандемия COVID-19, вызванная новым коронавирусом, остается глобальной угрозой человечеству. Вовлеченность почек в клиническую картину представляется все более значимой, а ОПП выступает в роли независимого предиктора летальности. В такой ситуации лица с хронической болезнью почек представляют группу особого риска и внимания. Только включая их в планируемые протоколы исследований по COVID-19, можно получить доказательную базу эффективных и безопасных методов лечения.
Список литературы
1. Leung C. Clinical features of deaths in the novel Coronavirus epidemic in China. Rev Med Virol. 2020;30(3):e2103. doi: https://doi.org/10.1002/rmv.2103
2. Cheng Y, Luo R, Wang K, et al. Kidney disease is associated with in-hospital death of patients with COVID-19. Kidney Int. 2020;97(5):829−838. doi: https://doi.org/10.1016/j.kint.2020.03.005
3. Tang N, Bai H, Chen X, et al. Anticoagulant treatment is associated with decreased mortality in severe coronavirus disease 2019 patients with coagulopathy. J Thromb Haemost. 2020;18(5):1094−1099. doi: https://doi.org/10.1111/jth.14817
4. Schoen K, Horvat N, Guerreiro NF, et al. Spectrum of clinical and radiographic findings in patients with diagnosis of H1N1 and correlation with clinical severity. BMC Infect Dis. 2019;19(1):964. doi: https://doi.org/10.1186/s12879-019-4592-0
5. Yang JK, Feng Y, Yuan MY, et al. Plasma glucose levels and diabetes are independent predictors for mortality and morbidity in patients with SARS. Diabetic Med. 2006;23(6):623−628. doi: https://doi.org/10.1111/j.1464-5491.2006.01861.x
6. Banik GR, Alqahtani AS, Booy R, Rashid H. Risk factors for severity and mortality in patients with MERS-CoV: analysis of publicly available data from Saudi Arabia. Virol Sin. 2016;31(1):81–84. doi: https://doi.org/10.1007/s12250-015-3679-z
7. Koye DN, Magliano DJ, Nelson RG, Pavkov ME. The global epidemiology of diabetes and kidney disease. Adv Chronic Kidney Dis. 2018;25(2):121−132. doi: https://doi.org/10.1053/j.ackd.2017.10.011
8. Fox CS, Matsushita K, Woodward M, et al. Associations of kidney diseases measures with mortality and end-stage renal disease in individuals with and without diabetes: a meta-analysis. Lancet. 2012;380(98540):1662−1673. doi: https://doi.org/10.1016/S0140-6736(12)61350-6
9. Larsen CP, Bourne TD, Wilson JD, et al. Collapsing glomerulopathy in a patient with coronavirus disease 2019 (COVID-19). Kidney Int Rep. 2020;5(6):935−939. doi: https://doi.org/10.1016/j.ekir.2020.04.002
10. The team of Zhong Nanshan responded that the isolation of SARS-CoV-2 from urine remind us to pay more attention to the cleaning of individuals and families. Guangzhou Daily [cited 2020 February 22].
11. Chu KH, Tsang WK, Tang CS, et al, Acute renal impairment in coronavirus-associated severe acute respiratory syndrome. Kidney Int. 2005;67(2):698–705. doi: https://doi.org/10.1111/j.1523-1755.2005.67130.x
12. Chen N, Zhou M, Dong X, et al. Epidemiological and clinical characteristics of 99 cases of 2019 novel coronavirus pneumonia in Wuhan, China: a descriptive study. Lancet. 2020;395(10223):507–513. doi: https://doi.org/10.1016/S0140-6736(20)30211-7
13. Guan WJ, Ni ZY, Hu Y, et al. Clinical characteristics of coronavirus disease 2019 in China. N Engl J Med. https://doi.org/10.1056/NEJMoa2002032
14. Li Z, Wu M, Guo J, et al. Caution on kidney dysfunctions of 2019-nCoV patients. medRxiv. 2020. https://doi.org/10.1101/2020.02.08.20021212
15. Hirsch JS, Ng JH, Ross DW, et al. Acute kidney injury in patients hospitalized with COVID-19. Kidney Int. 2020;98(1):209−218. doi: https://doi.org/10.1016/j.kint2020.05.006
16. Ronco C, Reis T. Kidney involvement in COVID-19 and rationale for extracorporeal therapies. Nat Rev Nephrol. 2020;16(6):308−310. doi: https://doi.org/10.1038/s41581-020-0284-7
17. Husain-Syed F, Slutsky AS, Ronco C. Lung-kidney cross-talk in the critically ill patient. Am J Respir Crit Care Med. 2016;194(4):402−414. doi: https://doi.org/10.1164/rccm.201602-0420CP
18. Panitchote A, Mehkri O, Hastings A, et al. Factors associated with acute kidney injury in acute respiratory distress syndrome. Ann Intensive Care. 2019;9(1):74. doi: https://doi.org/10.1186/s13613-019-0552-5
19. Wu C. Chen I, Cai Y, et al. Risk factors associated with acute respiratory distress syndrome and death in patients with coronavirus disease 2019 pneumonia in Wuhan, China. JAMA Intern Med. 2020;e200994. https://doi.org/10.1001/jamainternmed.2020.0994
20. Su H, Yang M. Wan Ch, et al. Renal histopathological analysis of 26 postmortem findigs of patients with COVID-19 in China. Kidney International. 2020;98(1):219-227. doi: https://doi.org/10.1016/j.kint.2020.04.003
21. Ma Y, Diao B, Lv X, Zhu J. 2019 novel coronavirus disease in hemodialysis (HD) patients: report from one HD center in Wuhan, China. medRxiv. 2020. doi: https://doi.org/10.1101/2020.02.24.20027201
22. Expert Team of Chinese Medical Association Nephrology Branch. Recommendations for prevention and control of novel coronavirus infection in blood purification center (room) from Chinese Medical Association Nephrology Branch. Chin J Nephrol. 2020;36:82–84.
23. Hwang S-J. Guideline for dialysis facilities during COVID-19 outbreak. Taiwan Society of Nephrology [cited 2020 March 16].
24. Naicker S, Yang CW, Hwang S, et al. The novel coronavirus 2019 epidemic and kidneys. Kidney International. 2020;97(5):824−828. doi: https://doi.org/10.1016/j.kint.2020.03.001
25. Fishman JA, Grossi PA. Novel coronavirus-19 (COVID-19) in the immunocompromised transplant recipient: #Flatteningthecurve. Am J Transplant. 2020;20(7):1765−1767. doi: https://doi.org/10.1111/ajt.15890
26. Akalin E, Azzi Y, Bartash R, et al. Covid-19 and kidney transplantation. N Engl J Med. 2020;382(25):2475−2477. doi: https://doi.org/10.1056/NEJMc2011117
27. Pereira MR, Mohan S, Cohen DJ, et al. COVID-19 in solid organ transplant recipients: initial report from the US epicenter. Am J Transplant. 2020;20(7):1800−1808. doi: https://doi.org/10.1111/ajt.15941
28. Columbia University Kidney Transplant Program. Early description of coronavirus 2019 disease in kidney transplant recipients in New York. J Am Soc Nephrol. 2020;31(6):1150−1156. doi: https://doi.org/10.1681/ASN.2020030375
29. Fernandez-Ruiz M, Andres A, Loinaz C, et al. COVID-19 in solid organ transplant recipients: a single-center case series from Spain. Am J Transplant. 2020;20(7):1849−185. doi: https://doi.org/10.1111/ajt.15929
30. Alberici FD, Delbarba E, Manenti C, et al. A single center observational study of the clinical characteristics and short-term outcome of 20 kidney transplant patients admitted for SARS-CoV2 pneumonia. Kidney Int. 2020;97(6):1083−1088. doi: https://doi.org/10.1016/j.kint.2020.04.002
31. Banerjee DP, Shah S, Ster IC, et al. COVID-19 infection in kidney transplant recipients. Kidney Int. 2020;97(6):1076−1082. doi: https://doi.org/10.1016/j.kint.2020.03.018
32. Lubetzky M, Aull M, Shapiro-Craig R, et al. Kidney allograft recipients diagnosed with coronavirus disease-2019: a single center report. Nephrol Dial Transplant. 2020. https://doi.org/10.1101/2020.04.30.20086462
33. López V, Vázquez T, Alonso-Titos J, et al. Recommendations on management of the SARS-CoV-2 coronavirus pandemic (Covid-19) in kidney transplant patients. Nefrologia. 2020;40(3):265−271. https://doi.org/10.1016/j.nefro.2020.03.002
34. Société Francophone de Transplantation (SFT); Société Francophone de Néphrologie, Dialyse et Transplantation (SFNDT) Groupe Infection et immunodépression; Société de pathologie infectieuse de langue franceaise (SPILF). Prise en charge de l’infection due au SARS-CoV-2 chez les patients adultes transplantés d’organe solide 2020 [cited 2020 May 1]. Available at: https://www.sfndt.org/sites/www.sfndt.org/files/medias/documents/Recos%20COVID19%20guide%20pratique%20SFT%20SFNDT%20SPILF%2003%2004%2020.pdf
35. British Transplant Society. Guidance on the management of transplant recipients diagnosed with or suspected of having COVID19 [cited 2020 May 1]. Available at: https://bts.org.uk/wp-content/uploads/2020/07/Clinical-management-of-transplants-and-immunosuppression-updated-9th-July.pdf
36. American Society of Transplantation. 2019-nCoV (Coronavirus): FAQs for organ donation and transplantation [cited 2020 May 1]. Available at: https://www.myast.org/sites/default/files/COVID19%20FAQ%20Tx%20Centers%2003.20.2020-FINAL.pdf
37. Maggiore U, Abramowicz D, Crespo M, et al. How should I manage immunosuppression in a kidney transplant patient with COVID-19? An ERA-EDTA DESCARTES expert opinion. Nephrol Dial Transplant. 2020;35(6):899−904. doi: https://doi.org/10.1093/ndt/gfaa130
Об авторах
Минара Шамхаловна ШамхаловаРоссия
д.м.н.
Наталья Георгиевна Мокрышева
Россия
д.м.н., профессор, член-корр. РАН
Марина Владимировна Шестакова
Россия
д.м.н., профессор, академик РАН
Дополнительные файлы
| 
                  
                                           | 
                1. Рис. 1. Проксимальные канальцы с вакуольной дегенерацией (стрелки) (а), агрегаты эритроцитов в перитубулярных капиллярах (наконечники стрел) (b). Посмертное гистологическое исследование пациента с COVID-19 (световая микроскопия). | |
| Тема | ||
| Тип | Прочее | |
                  
                    Посмотреть
                                        
                    (433KB)    
                   
                 | 
                Метаданные | |
| 
                  
                                           | 
                2. Рис. 2. Частицы коронавируса (красные стрелки) с характерными шипами (зеленые стрелки) в цитоплазме проксимальных канальцев (а) и подоцитах (b). Посмертное гистологическое исследование пациента с COVID-19 (электронная микроскопия). | |
| Тема | ||
| Тип | Прочее | |
                  
                    Посмотреть
                                        
                    (353KB)    
                   
                 | 
                Метаданные | |
| 
                  
                                           | 
                3. Рис. 3. Ядерный белок SARS-CoV в эпителии канальцев. Посмертное гистологическое исследование пациента с COVID-19 (иммунофлюоресцентный анализ). | |
| Тема | ||
| Тип | Прочее | |
                  
                    Посмотреть
                                        
                    (172KB)    
                   
                 | 
                Метаданные | |
Для цитирования:
Шамхалова М.Ш., Мокрышева Н.Г., Шестакова М.В. COVID-19 и почки. Сахарный диабет. 2020;23(3):235-241. https://doi.org/10.14341/DM12506
For citation:
Shamkhalova M.S., Mokrysheva N.G., Shestakova M.V. COVID-19 and kidneys. Diabetes mellitus. 2020;23(3):235-241. (In Russ.) https://doi.org/10.14341/DM12506
                    



























